Gum Recession Treatment in Vancouver - 750 West Broadway Dental
604-879-9241

EMERGENCY CALLS

Gum Recession

What is Gum Recession?

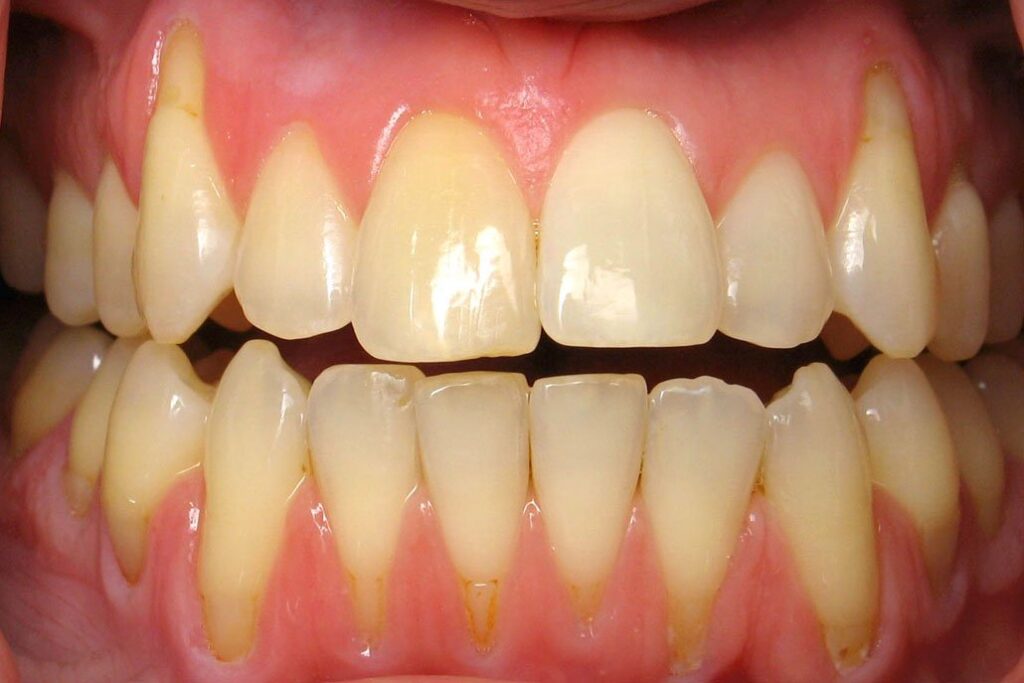
Gum recession happens when the gum tissue around your teeth wears away or pulls back. This exposes more of the tooth or its root.
 
It creates “pockets” or gaps between the teeth and gums, where harmful bacteria can gather. If you don’t treat it, this can seriously harm the tissue and bone that hold your teeth in place, and you might even lose some teeth.
 
A lot of people have gum recession. But since it’s slow, many don’t realize they have it. You might first notice that your teeth are sensitive or that one tooth seems longer. Often, you can feel a small dip by the gum line.
 
Don’t ignore gum recession. If you see signs of it, go see your dentist. They can help fix your gums and stop more damage.
 

Why Do Gums Recede?

There are a number of factors that can cause your gums to recede, including:

Periodontal diseases

These are bacterial gum infections that destroy gum tissue and supporting bone that hold your teeth in place. Gum disease is the main cause of gum recession.

Your genes

Some people may be more susceptible to gum disease. In fact, studies show that 30% of the population may be predisposed to gum disease, regardless of how well they care for their teeth.

Aggressive tooth brushing

If you brush your teeth too hard or the wrong way, it can cause the enamel on your teeth to wear away and your gums to recede.

Insufficient dental care

Inadequate brushing, flossing, and rinsing with antibacterial mouthwash makes it easy for plaque to turn into calculus (tartar) -- a hard substance that builds on and between your teeth and can only be removed by a professional dental cleaning. It can lead to gum recession.

Hormonal changes

Fluctuations in female hormone levels during a woman's lifetime, such as in puberty, pregnancy, and menopause, can make gums more sensitive and more vulnerable to gum recession.

Tobacco products

Tobacco users are more likely to have sticky plaque on their teeth that is difficult to remove and can cause gum recession.

Grinding and clenching your teeth

Clenching or grinding your teeth can put too much force on the teeth, causing gums to recede.

Crooked teeth or a misaligned bite

When teeth do not come together evenly, too much force can be placed on the gums and bone, allowing gums to recede.

Body piercing of the lip or tongue

Jewelry can rub the gums and irritate them to the point that gum tissue is worn away.

How Is Gum Recession Treated?

Mild gum recession may be able to be treated by your dentist by deep cleaning the affected area.
 
During the deep cleaning — also called tooth scaling and root planing — plaque and tartar that has built up on the teeth and root surfaces below the gum line is carefully removed and the exposed root area is smoothed to make it more difficult for bacteria to attach itself.
 
Antibiotics also may be given to get rid of any remaining harmful bacteria.
 
If your gum recession cannot be treated with deep cleaning because of excess loss of bone and pockets that are too deep, gum surgery may be required to repair the damage caused by gum recession.

What Type of Surgery Is Used to Treat Gum Recession?

The following surgical procedures are used to treat gum recession:

Open Flap Scaling and Root Planing

During this procedure, the dentist or periodontist folds back the affected gum tissue, removes the harmful bacteria from the pockets, and then snugly secures the gum tissue in place over the tooth root, thus eliminating the pockets or reducing their size.

Regeneration

If the bone supporting your teeth has been destroyed as a result of gum recession, a procedure to regenerate lost bone and tissue may be recommended.

As in pocket depth reduction, your dentist will fold back the gum tissue and remove the bacteria. A regenerative material, such as a membrane, graft tissue, or tissue-stimulating protein, will then be applied to encourage your body to naturally regenerate bone and tissue in that area.

After the regenerative material is put in place, the gum tissue is secured over the root of the tooth or teeth.

Soft Tissue Graft

There are several types of gum tissue graft procedures, but the most commonly used one is called a connective tissue graft.

In this procedure, a flap of skin is cut at the roof of your mouth (palate) and tissue from under the flap, called subepithelial connective tissue, is removed and then stitched to the gum tissue surrounding the exposed root.

After the connective tissue -- the graft -- has been removed from under the flap, the flap is stitched back down.

Gingival Graft

During another type of graft, tissue is taken directly from the roof of the mouth instead of under the skin.

Sometimes, if you have enough gum tissue surrounding the affected teeth, the dentist is able to graft gum from near the tooth and not remove tissue from the palate. This is called a pedicle graft.

Your dentist can determine the best type of procedure to use on you based on your individual needs.

How Can I Prevent Gum Recession?

The best way to prevent gum recession is to take good care of your mouth.
 
Brush and floss your teeth every day and see your dentist or periodontist at least twice a year, or as recommended.
 
If you have gum recession, your dentist may want to see you more often. Always use a soft-bristled toothbrush and ask your dentist to show you the proper way to brush your teeth.
 
If a misaligned bite or teeth grinding is the cause of gum recession, talk to your dentist about how to correct the problem.
 
Other ways to prevent gum recession include:
 
  • Quit smoking if you smoke.
  • Eat a well balanced and healthy diet.
  • Monitor changes that may occur in your mouth.
  • By taking good care of your teeth, you can have a healthy smile forever.

Gum Recession FAQs

Yes, gum recession is quite common, especially as people get older. Many adults have some degree of gum recession. It’s important to keep an eye on your gums and maintain good oral hygiene to prevent it from getting worse.

Gum recession can lead to tooth loss if it’s not treated because it may be a sign of advanced gum disease. When the gums recede, they can’t support the teeth as well, which might make the teeth loose over time.

While natural remedies like oil pulling or using saltwater rinses can help with gum health, they are not cures for gum recession. It’s always best to seek advice from a dental professional for proper treatment.

Sometimes, dental treatments like braces can contribute to gum recession if the teeth move too quickly or if they’re not cared for properly during treatment. Always follow your orthodontist’s instructions for care to minimize risks.

It’s less common for children to have gum recession, but it can happen, usually due to aggressive brushing or poor oral hygiene. It’s important to teach children proper brushing techniques and ensure they have regular dental check-ups.

Ignoring receding gums can lead to more serious dental issues, including severe gum disease, bone loss, and eventually tooth loss. It can also increase the risk of infections and other health problems related to poor oral health.

Schedule your first visit

Call Us Now